Beberapa orang lebih mengenal manfaat vitamin C untuk mencegah sariawan dan mencerahkan kulit, padahal perannya lebih dari itu. Tanpa asupan vitamin C yang cukup, Anda bahkan berisiko mengalami penyakit langka yang dikenal sebagai skorbut.
Apa itu skorbut?
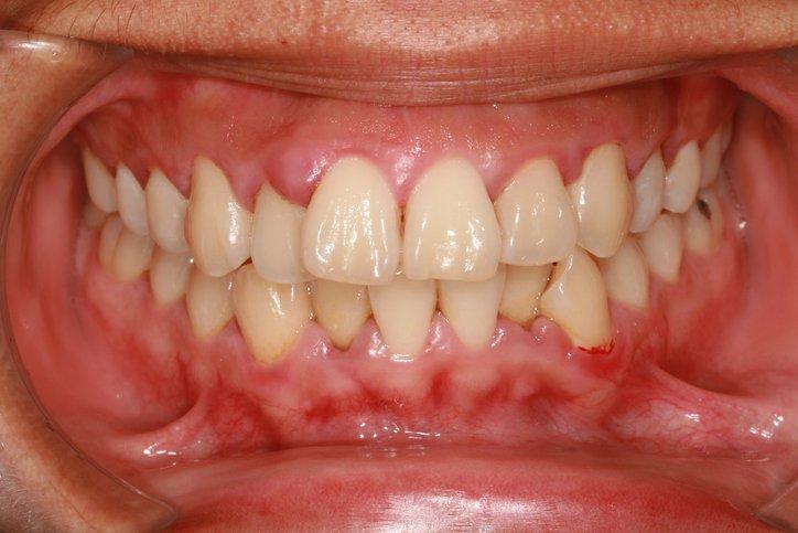
Skorbut adalah suatu penyakit langka akibat kekurangan vitamin C yang sangat parah. Penyakit ini dapat menyebabkan lesu dan kelemahan, penyakit gusi, anemia, hingga perdarahan melalui kulit.
Kekurangan vitamin C yang parah juga dapat menyebabkan pembengkakan dan nyeri pada beberapa bagian tubuh, terutama kaki.
Tidak jarang, kondisi yang dikenal juga dengan nama scurvy ini mengganggu fungsi sistem imun dan metabolisme kolesterol dalam tubuh.
Kasus scurvy pada zaman modern tergolong langka karena kebanyakan orang dapat memenuhi kebutuhan vitamin C dari makanan sehari-hari. Bahkan, orang yang jarang makan sehat pun belum tentu berisiko mengalaminya.
Skorbut biasanya baru terjadi ketika seseorang kekurangan vitamin C setidaknya selama tiga bulan. Mengutip DermNet NZ, di negara-negara berkembang, kekurangan vitamin C terjadi pada sekitar 10% perempuan dan 14% laki-laki.
https://hellosehat.com/nutrisi/fakta-gizi/kebutuhan-vitamin-c-per-hari/
Tanda dan gejala skorbut

Gejala skorbut bisa muncul dalam jangka waktu 8–12 minggu. Tanda-tanda awalnya yakni badan lesu dan letih, berat badan turun, serta menurunnya nafsu makan. Dalam 1–3 bulan ke depan, mungkin timbul gejala lain berupa:
- nyeri otot,
- anemia,
- penyakit gusi,
- sesak napas,
- gigi goyang atau lepas,
- rambut berlekuk-lekuk,
- perubahan mood (suasana hati),
- pembengkakan pada beberapa bagian tubuh, serta
- munculnya bintik-bintik merah akibat perdarahan di bawah kulit.
Jika pasien tidak mendapatkan penanganan yang tepat, skorbut bisa bertambah parah dan menyebabkan hancurnya sel darah merah.
Pasien mungkin juga mengalami sakit kuning, perdarahan spontan, hingga kerusakan saraf.
Sebuah penelitian dalam Journal of Clinical Orthopaedics and Trauma juga melaporkan adanya perdarahan subperiosteal pada pasien skorbut. Perdarahan ini terjadi pada bagian ujung tulang-tulang panjang, seperti tulang paha.
Penyebab dan faktor risiko skorbut

Penyakit scurvy disebabkan oleh kurangnya asupan vitamin C. Tubuh manusia tidak dapat menghasilkan vitamin C sendiri, jadi Anda harus mencukupi kebutuhannya dari makanan sehari-hari.
Tanpa asupan vitamin C yang cukup, tubuh tidak dapat membentuk kolagen. Selain itu, kemampuan tubuh dalam membentuk hormon-hormon seperti dopamin, adrenalin, dan norepinefrin akan terganggu.
Jika tubuh tidak dapat membentuk kolagen yang cukup, berbagai jaringan di dalamnya akan mulai mengalami kerusakan.
Gusi menjadi lemah, rambut menjadi berlekuk-lekuk, dan darah mulai keluar dari pembuluh sehingga terjadi perdarahan.
Kekurangan vitamin C juga berdampak pada berbagai mekanisme tubuh. Fungsi sistem imun melemah sehingga Anda lebih mudah terserang penyakit.
Penyerapan zat besi pun menurun dan membuat Anda rentan mengalami anemia defisiensi besi.
Biasanya, skorbut lebih banyak terjadi pada orang-orang dengan kondisi berikut.
- Memiliki pola makan yang sangat minim buah dan sayuran.
- Pola makan terbatas akibat kesulitan menelan, alergi, atau penyebab lainnya.
- Mengidap gangguan kejiwaan yang menghambat asupan makan.
- Mengalami mual parah akibat efek kemoterapi.
- Mengidap gangguan pencernaan yang mengganggu penyerapan gizi, misalnya kolitis ulseratif atau penyakit Crohn.
- Ketergantungan alkohol atau obat-obatan ilegal.
Pengobatan yang tersedia

Dokter dapat mendiagnosis penyakit scurvy dengan pemeriksaan fisik dan tes darah untuk mengetahui kadar vitamin C dalam tubuh Anda.
Setelah itu, barulah dokter akan memberikan penanganan sesuai tingkat keparahan Anda.
Scurvy sebenarnya merupakan penyakit yang dapat ditangani dengan mudah melalui pola makan. Anda bisa mengatasinya dengan mengonsumsi makanan sumber vitamin C, terutama sayuran dan buah-buahan.
Namun, kekurangan vitamin C yang parah perlu ditangani dengan pemberian suplemen vitamin C secara oral atau melalui suntikan vitamin C. Dokter akan memberikan suplemen dalam dosis sebagai berikut.
- 1–2 gram per hari selama 2–3 hari.
- 500 miligram selama 7 hari selanjutnya.
- 100 miligram selama 1–3 bulan.
Keluhan nyeri dan lesu akan mulai berkurang 24 jam setelah pengobatan. Sementara itu, gejala memar dan perdarahan akan berkurang dalam 1–2 minggu.
Pasien biasanya dapat pulih sepenuhnya setelah tiga bulan tanpa kekambuhan.
Skorbut merupakan penyakit akibat kurangnya asupan vitamin C. Anda bisa mencegah penyakit ini dengan mencukupi kebutuhan vitamin C dari makanan.
Asupan vitamin yang cukup akan membuat tubuh senantiasa sehat.
[embed-health-tool-bmr]

























