Pada beberapa anak, kaki bagian bawah bisa terlihat bengkok dan menyerupai huruf O. Kondisi ini paling sering disadari pada anak berusia kurang dari 2 tahun. Namun, terkadang kaki yang bengkok juga bisa dialami oleh anak-anak yang lebih tua atau bahkan remaja. Hal tersebut bisa menjadi tanda anak mengalami penyakit Blount.
 
Apa itu penyakit Blount?

Penyakit Blount atau tibia vara adalah suatu kondisi pada tulang anak yang memengaruhi lempengan pertumbuhan di sekitar lutut.
Kelainan tulang ini dapat dialami oleh anak-anak yang masih dalam masa pertumbuhan, yaitu sejak baru lahir hingga remaja.
Kondisi ini menyebabkan lempengan pertumbuhan yang berada di dalam lutut anak melambat atau bahkan berhenti menghasilkan tulang baru.
Sementara lempengan pertumbuhan yang ada di bagian luar lutut tetap terus berkembang secara normal.
Akibatnya, salah satu atau kedua tulang kaki anak di bagian bawah lutut tidak dapat tumbuh lurus, melainkan akan terlihat bengkok dan menyerupai huruf C.
Meski dapat terlihat sama, perlu diketahui bahwa penyakit Blount berbeda dari kondisi kaki bengkok pada bayi baru lahir.
Tulang kaki yang terlihat bengkok sebenarnya normal terjadi pada bayi berusia kurang dari 2 tahun.
Kebengkokan pada kaki umumnya akan berangsur membaik setelah bayi berusia sekitar 18—24 bulan, tepatnya ketika bayi sudah mulai belajar berjalan.
[embed-health-tool-vaccination-tool]
Apa saja jenis-jenis penyakit Blount
Berdasarkan usia penderitanya, penyakit Blount bisa terbagi menjadi 2 jenis, yaitu sebagai berikut.
1. Penyakit Blount pada bayi
Jenis ini bisa mulai timbul saat bayi baru lahir hingga berusia 3 tahun.
Meski kaki bengkok pada bayi bisa terjadi secara normal, pada penyakit Blount, kaki yang bengkok akan terus bertambah parah dan tidak akan membaik dengan sendirinya.
Tulang kaki bengkok ini juga biasanya terjadi di kedua kaki (bilateral).
Namun, perubahan struktur tulang (deformitas) hanya terjadi pada tulang kering (tibia) yang terletak di depan betis.
2. Penyakit Blount pada remaja
Jenis ini terjadi pada anak-anak berusia di atas 10 tahun.
Penderita biasanya hanya akan mengalami kebengkokan tulang pada salah satu sisi kaki (unilateral).
Sementaa itu, perubahan struktur tulang (deformitas) terjadi pada tulang paha (femur) dan tibia.
https://hellosehat.com/parenting/kesehatan-anak/penyakit-pada-anak/growing-pains/
Apa penyebab penyakit Blount?
Belum dapat dipastikan penyebab dari kelainan tulang ini. Namun, sebagian besar kasus penyakit Blount terjadi akibat berat badan anak berlebih atau kenaikan berat badan yang terlalu cepat.
Melansir dari Cleveland Clinic, beberapa penelitian juga menunjukan adanya kemungkinan faktor genetik yang memicu terjadinya penyakit Blount pada anak.
Ini karena pada beberapa kasus lainnya, penyakit ini diketahui dapat diturunkan melalui gen dari orangtua kepada anak. Artinya, penyakit ini bisa terjadi secara turun temurun di dalam keluarga,
Selain itu, belajar berjalan terlalu cepat juga diduga sebagai salah satu faktor pemicu kaki bengkok pada bayi.
Kondisi ini bisa terjadi akibat orangtua terlalu cepat mengajarkan anak belajar berjalan, baik secara manual dengan dipapah atau menggunakan alat bantu, seperti push walker.
Apa gejala penyakit Blount?

Gejala yang paling menandakan penyakit Blount yaitu kaki di bagian bawah lutut yang terlihat bengkok. Berikut ciri khas kaki bengkok pada penyakit ini.
- Kaki bengkok yang terlihat seperti huruf C.
 - Kebengkokan bisa terlihat pada salah atau satu kedua kaki bagian bawah.
 - Jari kaki dan kaki mengarah ke dalam, bukan lurus ke depan.
 
Bentuk kaki bagian bawah yang bengkok bisa membuat kaki memiliki jarak yang berbeda antara bagian atas dan bagian bawah, termasuk lutut.
Bengkok pada kaki bisa terlihat saat sedang berdiri atau berjalan. Oleh karena itu, kondisi ini juga bisa menjadi salah satu penyebab kaki berbentuk huruf O.
Umumnya, kaki yang bengkok pada balita tidak menimbulkan rasa nyeri. Namun, pada remaja, kondisi ini dapat disertai rasa nyeri di lutut yang bisa bertambah parah setelah melakukan aktivitas fisik.
Jika kondisi yang dialami cukup parah, beberapa gejala lain juga bisa menyertai, di antaranya sebagai berikut.
- Arthritis pada lutut.
 - Kesulitan berjalan.
 - Kerusakan sendi dan saraf.
 
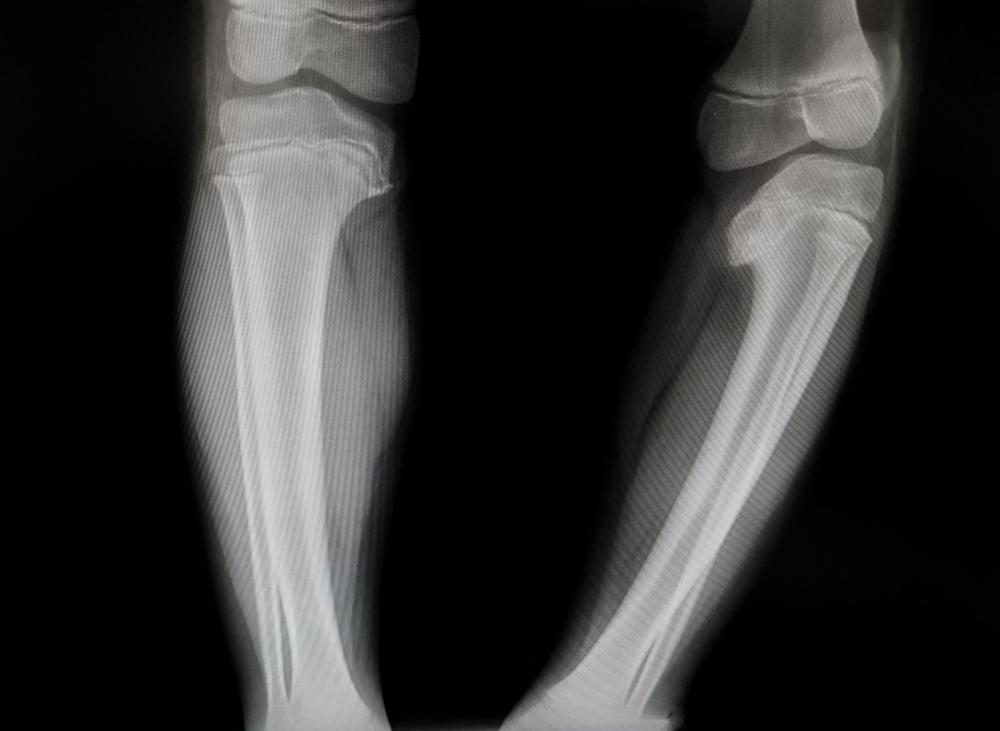
Bagaimana cara mendiagnosis penyakit Blount?
Pertama-tama, dokter akan melihat secara langsung kondisi kaki anak dengan melakukan pemeriksaan fisik.
Untuk memastikan kondisi yang dialami, dokter juga akan menjalankan pemindaian dengan foto Rontgen.
Pemindaian ini bertujuan untuk membantu dokter melihat pertumbuhan tulang anak dan mendeteksi penyebab kebengkokan pada tulang.
Pemeriksaan baru perlu dilakukan pada anak di atas usia 2 tahun. Ini karena anak
di bawah usia 2 tahun bisa memiliki kaki yang bengkok secara alami dan bukan menandakan kelainan bentuk kaki.
Jika bentuk kaki anak masih bengkok setelah memasuki usia 2 tahun, dokter akan menyarankan pemeriksaan untuk memastikan kondisi kaki anak.
https://hellosehat.com/parenting/kesehatan-anak/penyakit-pada-anak/nyeri-otot-pada-anak/
Apa pengobatan untuk penyakit Blount?
Pengobatan penyakit Blount bisa berbeda-beda pada tiap penderita, tergantung dari usia anak dan tingkat keparahan kondisi.
Berikut ini adalah beberapa pilihan pengobatannya.
1. Brace
Brace umumnya digunakan untuk anak berusia kurang dari 3 tahun.
Alat ini berfungsi menahan bentuk kaki dari paha hingga telapak kaki agar tetap lurus.
Brace biasanya digunakan pada malam hari selama 1 tahun.
2. Operasi
Operasi, seperti operasi pemotongan tulang (osteotomi) bisa dilakukan pada anak di atas usia 4 tahun.
Prosedur ini dapat dilakukan untuk memasukan staple, pin, atau pita peregangan (tension band).
Selain itu, operasi juga bisa berfungsi untuk memotong atau menambah potongan tulang ke bagian tibia yang rusak.
Jika Anda masih memiliki pertanyaan terkait penyakit ini, silakan konsultasikan lebih lanjut dengan dokter.

























