Definisi
Apa itu rontgen thorax?
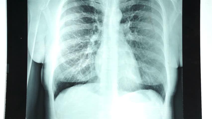
Rontgen dada atau rontgen thorax adalah foto dada yang menunjukkan jantung, paru-paru, saluran pernapasan, pembuluh darah, dan nodus limfa Anda. Rontgen dada juga bisa menunjukkan tulang belakang dan dada, termasuk tulang rusuk, tulang selangka, dan bagian atas tulang belakang Anda.
Rontgen thorax merupakan tes pencitraan yang paling umum digunakan untuk menemukan masalah dalam dada, terutama untuk mendiagnosis penyebab kondisi sesak napas.
Menurut Mayo Clinic, rontgen thorax dapat menunjukkan berbagai macam kondisi dalam tubuh Anda, termasuk:
- Masalah paru-paru, seperti kanker, infeksi, atau pengumpulan udara di ruang sekitar paru-paru (pneumothorax) dan kondisi kronis paru lain, seperti emfisema atau fibrosis kistik.
- Masalah jantung yang berhubungan dengan paru. Rontgen dada dapat menunjukkan perubahan atau masalah dalam paru-paru Anda yang masalahnya berasal dari jantung. Sebagai contoh, cairan dalam paru-paru (edema paru) merupakan hasil dari gagal jantung kongestif.
- Ukuran dan bentuk jantung Anda. Perubahan ukuran dan bentuk jantung bisa mengindikasikan gagal jantung, cairan di sekitar jantung (efusi perikardial), atau masalah katup jantung.
- Pembuluh darah. Letak pembuluh besar dekat dengan jantung Anda—aorta dan arteri pulmonal dan vena—terlihat pada sinar-X. Itu sebabnya, kondisi seperti aortik aneurisma, atau masalah pembuluh darah lainnya serta penyakit jantung bawaan dapat terlihat.
- Deposit kalsium. Rontgen dada bisa mendeteksi adanya kalsium dalam jantung atau pembuluh darah. Hal tersebut mengindikasikan adanya kerusakan dalam rongga jantung, arteri koroner, otot jantung, atau kantung pelindung yang mengelilingi jantung.
- Patah tulang rusuk atau tulang belakang.
- Perubahan pasca-operasi. Rontgen thorax bermanfaat untuk memantau proses penyembuhan setelah Anda melakukan operasi pada dada, seperti jantung, paru-paru atau esofagus.
- Alat pacu jantung, defibrilator, atau kateter. Rontgen dada biasanya diambil setelah penempatan suatu alat medis untuk memastikan semuanya berada pada posisi yang tepat.
Biasanya dua gambar diambil, satu dari belakang dada dan lainnya dari samping. Dalam keadaan darurat ketika hanya satu gambar sinar-X yang diambil, biasanya bagian depan yang akan digunakan.
Kapan saya harus menjalani rontgen thorax?
Rontgen thorax atau dada merupakan prosedur pertama yang akan Anda lalui bila dokter menduga adanya penyakit jantung atau paru pada diri Anda. Tes ini juga bisa digunakan untuk memeriksa respons Anda terhadap pengobatan.
Dokter akan menyarankan rontgen thorax bila Anda memiliki gejala-gejala berikut:
- batuk yang tak kunjung sembuh
- nyeri dada karena cedera dada (adanya kemungkinan patah tulang rusuk atau komplikasi paru) atau disebabkan masalah jantung
- batuk berdarah
- sesak napas
- demam
Tes ini juga bisa dilakukan bila Anda memiliki tanda-tanda tuberkulosis, kanker paru, atau penyakit dada atau paru lainnya.
Pencegahan & peringatan
Apa yang harus saya ketahui sebelum menjalani prosedur ini?
Terdapat beberapa hal yang perlu Anda ketahui sebelum menjalani rontgen thorax, yaitu:
- Dokter mungkin tidak selalu mendapatkan informasi yang mereka butuhkan dari rontgen thorax untuk mengetahui penyebab masalah. Anda mungkin perlu menjalani tes lain, seperti CT scan, ultrasound, ekokardiogram, atau scan MRI untuk mendapatkan gambaran yang lebih jelas.
- Klinik yang berbeda mungkin menggunakan jenis tes yang berbeda. Hal ini bisa menyebabkan adanya perbedaan hasil dari hasil tes sebelumnya.
- Beberapa kondisi mungkin tidak muncul pada rontgen thorax, seperti kanker kecil, emboli paru, atau masalah lain yang tersembunyi dalam struktur normal di dada.
Pekerja tertentu, seperti orang-orang yang bekerja dengan asbes, mungkin perlu rontgen dada rutin untuk memeriksa masalah yang disebabkan oleh asbes.
Proses
Apa yang harus saya lakukan sebelum menjalani rontgen thorax?
Rontgen thorax atau dada tidak membutuhkan persiapan khusus. Anda mungkin akan diminta untuk menanggalkan beberapa atau semua pakaian dan mengenakan pakaian khusus untuk pemeriksaan. Anda mungkin juga akan diminta untuk melepaskan perhiasan, peralatan gigi, kacamata dan benda logam atau pakaian yang mungkin mengganggu gambar rontgen.
Wanita sebaiknya selalu memberi tahu dokter atau radiolog bila ada kemungkinan sedang hamil. Banyak tes pencitraan tidak dilakukan selama kehamilan agar janin tidak terkena radiasi. Bila sinar-X diperlukan, pencegahan akan dilakukan untuk memperkecil paparan radiasi terhadap bayi.
Bagaimana proses rontgen dada?
Proses melakukan pemeriksaan rontgen dada, antara lain:
- Anda akan diminta berdiri menghadap plat rontgen untuk pengambilan gambar. Jika Anda perlu duduk atau berbaring, seseorang akan membantu Anda ke posisi yang benar.
- Anda akan diminta untuk diam tidak bergerak selama rontgen untuk mencegah gambar terlihat kabur.
- Anda mungkin akan diminta untuk menahan napas Anda selama beberapa detik sementara gambar rontgen diambil.
Sebagian besar rumah sakit dan beberapa klinik memiliki mesin rontgen portabel. Jika rontgen dada dilakukan dengan mesin portabel di samping tempat tidur Anda di rumah sakit, radiolog dan perawat akan membantu Anda bergerak ke posisi yang benar. Biasanya hanya satu gambar dari posisi depan yang diambil.
Apa yang harus saya lakukan setelah menjalani rontgen thorax?
Anda dapat kembali beraktivitas normal tepat setelah tes dilakukan. Hasil rontgen dada dapat segera tersedia untuk dianalisis dokter.
Pemeriksaan tindak lanjut mungkin diperlukan, dan dokter akan menjelaskan alasan yang tepat mengapa pemeriksaan lain diperlukan. Apabila Anda memiliki pertanyaan yang berkaitan dengan proses tes ini, konsultasikanlah kepada dokter Anda untuk pemahaman yang lebih baik.
Penjelasan dari Hasil Tes
Apa arti hasil tes yang saya dapat?
Dalam keadaan darurat, hasil rontgen dada akan langsung tersedia dalam beberapa menit untuk ditinjau dokter Anda.
Hasil foto rontgen dada normal:
- Hasil rontgen paru-paru terlihat normal dalam ukuran dan bentuk, serta jaringan paru terlihat normal. Tidak ada pertumbuhan massa dalam paru-paru. Ruang pleura (ruang yang mengelilingi paru-paru) juga terlihat normal.
- Jantung terlihat normal dalam ukuran dan bentuk, serta jaringan jantung terlihat normal. Pembuluh darah dari dan yang mengarah ke jantung juga normal baik dalam ukuran, bentuk, dan tampilan.
- Tulang termasuk tulang belakang dan rusuk terlihat normal.
- Diafragma terlihat normal dalam bentuk dan letak.
- Tidak terlihat adanya penumpukan cairan atau udara yang abnormal, dan tidak ada benda asing yang terlihat.
- Semua tabung, kateter, atau alat medis lainnya berada pada posisi yang tepat di dalam dada.
Hasil foto rontgen dada abnormal:
- Adanya infeksi, seperti pneumonia atau tuberkulosis.
- Adanya masalah seperti tumor, cedera, atau kondisi seperti edema karena gagal jantung mungkin terlihat. Pada beberapa kasus, rontgen lebih lanjut atau tes lainnya akan diperlukan untuk melihat masalah lebih jelas.
- Terlihat adanya masalah seperti pembesaran jantung—yang dapat mengakibatkan gagal jantung, penyakit katup jantung, atau cairan disekitar jantung.
- Terlihat adanya masalah dengan pembuluh darah, seperti pembesaran aorta, aneurisma, atau pengerasan arteri (aterosklerosis).
- Terlihat adanya cairan dalam paru-paru (edema paru) atau disekitar paru-paru (efusi pleura), atau udara terlihat di sekitar rongga paru (pneumothorax).
- Terlihat adanya patah tulang pada tulang rusuk, selangka, atau tulang belakang.
- Terlihat adanya pembesaran nodus limfa.
- Benda asing terlihat di dalam esofagus, tabung pernapasan, atau paru-paru.
- Tabung, katerer, atau alat medis lainnya bergeser dari posisi semula.


























