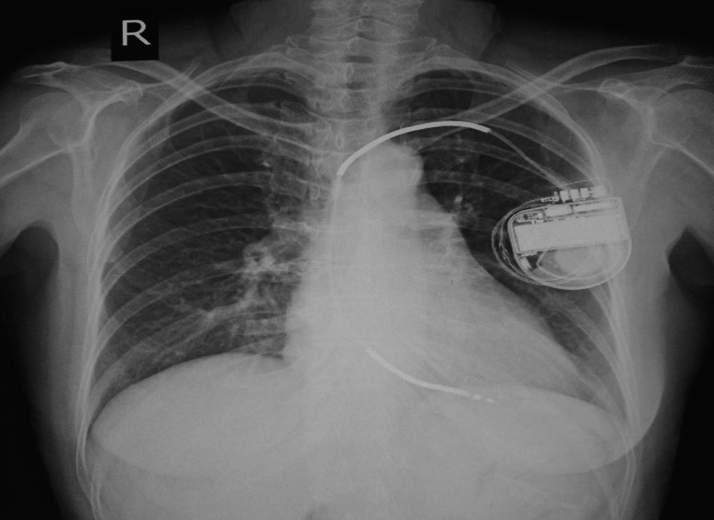
Ketika irama jantung bermasalah dan berisiko mengancam jiwa, dokter dapat merekomendasikan penggunaan alat pacu jantung pada pasien. Ya, alat medis yang satu ini berfungsi untuk membantu mengendalikan detak jantung pasien supaya tetap normal. Memangnya, berapa lama usia harapan hidup dengan alat pacu jantung? Berikut ulasan lengkapnya.
Berapa lama usia harapan hidup dengan bantuan alat pacu jantung?
Namun, tidak semua orang yang mengalami gangguan jantung membutuhkan penggunaan alat pacu jantung. Alat ini biasanya digunakan untuk orang yang memiliki irama detak jantung yang tidak teratur (aritmia). Entah itu terlalu cepat (takikardia) atau justru terlalu lambat (bradikardia).
Ketahanan alat pacu jantung di dalam tubuh pasien tergantung dari beberapa faktor. Mulai dari tingkat keparahan gangguan irama jantung dan kebutuhan masing-masing pasien. Lalu, yang jadi pertanyaan selanjutnya, sebenarnya seberapa lama alat pacu jantung bisa meningkatkan harapan hidup seseorang?
Sebagian besar pasien dengan kardiomiopati iskemik dan kardiomiopati dilatasi dapat bertahan hidup lebih dari 7 tahun dengan bantuan alat pacu jantung. Bahkan, orang yang dengan penyakit jantung bawaan pun bisa bertahan hidup hingga 10 tahun dengan alat yang sama.
Pada pasien dengan kardiomiopati iskemik, bilik kiri jantung mengalami kesulitan memompa darah ke seluruh tubuh. Sementara itu, kondisi jantung pasien dengan kardiomiopati dilatasi cenderung melemah dan membesar. Akibatnya, kedua penyakit tersebut membuat jantung gagal memompa darah ke seluruh tubuh.
Menurut Robert Hauser, MD, seorang ahli jantung dari Minneapolis Heart Institute, Amerika Serikat, kedua kondisi tersebut dapat meningkatkan risiko kematian jantung mendadak dan gagal jantung. Oleh karena itulah dibutuhkan bantuan alat pacu jantung implan untuk membantu meningkatkan aliran darah ke jantung dan seluruh tubuh.
Hal yang harus diperhatikan saat menggunakan alat pacu jantung

Sebelum memasang defibrilator, pastikan Anda sudah mengantongi izin dari dokter spesialis jantung Anda terlebih dahulu. Dokter akan melihat riwayat kesehatan Anda dan mengukur seberapa besar Anda membutuhkan pacu jantung.
Setelah operasi tanam alat pacu ini berhasil, selalu ikuti semua anjuran dokter spesialis jantung mengenai hal-hal yang boleh dan tidak boleh Anda lakukan. Ini bertujuan untuk mencegah efek samping dan risiko yang mungkin terjadi pada tubuh Anda setelah memasang defibrilator.
Kabar baiknya, defibrilator yang ditanam di dalam tubuh dapat bertahan cukup lama dan tidak mudah rusak karena hal-hal kecil. Sekalipun misalnya terdapat trauma kecil pada dada yang letaknya di atas lokasi defibrilator.
Akan tetapi, ketahanan alat pacu jantung Anda bisa terganggu jika Anda mengalami trauma yang cukup berat atau patah tulang. Itulah sebabnya, Anda dianjurkan untuk menghindari olahraga yang terlalu berat setelah memasang alat pacu jantung.
Hindari juga gerakan-gerakan yang dapat memicu kontraksi jantung terlalu kuat. Contohnya menggergaji kayu atau mengaduk semen yang melibatkan otot-otot di sekitar defibrilator.
Tenang, Anda masih boleh berolahraga, kok, selama intensitasnya ringan. Misalnya dengan berjalan kaki atau sekadar peregangan singkat. Bila dilakukan secara hati-hati, hal ini dapat membantu melancarkan aliran darah ke jantung dan mengurangi keparahan penyakit jantung yang Anda alami.
Hal yang tak kalah penting, pastikan juga untuk selalu minum obat secara rutin sesuai dengan anjuran dokter. Semua cara ini bisa membantu mengoptimalkan penggunaan alat pacu jantung dan menjaga kesehatan jantung untuk memperpanjang usia harapan hidup Anda.