backup og meta

Mengenal Prosedur Arthrodesis untuk Mengatasi Gangguan Muskuloskeletal

Arthrodesis merupakan salah satu prosedur medis yang biasanya dilakukan oleh ahli bedah ortopedi untuk mengatasi gangguan muskuloskeletal. Prosedur ini memiliki nama lain, yaitu joint fusion atau fusi sendi. Ya, prosedur ini biasanya memang mengatasi masalah yang berkaitan dengan kerusakan pada sendi. Untuk mengetahui lebih jelas mengenai prosedur medis ini, baca penjelasan lengkapnya berikut ini.

Mengenal Prosedur Arthrodesis untuk Mengatasi Gangguan Muskuloskeletal

Apa itu arthrodesis?

Arthrodesis adalah sebuah operasi yang merujuk pada prosedur medis untuk menyatukan dua tulang pada persendian. Dalam pelaksanaannya, dokter ahli bedah ortopedi akan meluruskan sendi yang rusak secara manual, mengangkat tulang lunak, dan menstabilkan tulang pada persendian tersebut agar bisa pulih secara bersamaan.

Prosedur ini bermanfaat untuk mengurangi rasa sakit yang tak bisa diatasi meski telah menjalani pengobatan alternatif, pengobatan rumah, terapi fisik, penggunaan alat bantu medis, maupun mengonsumsi obat pereda sakit.

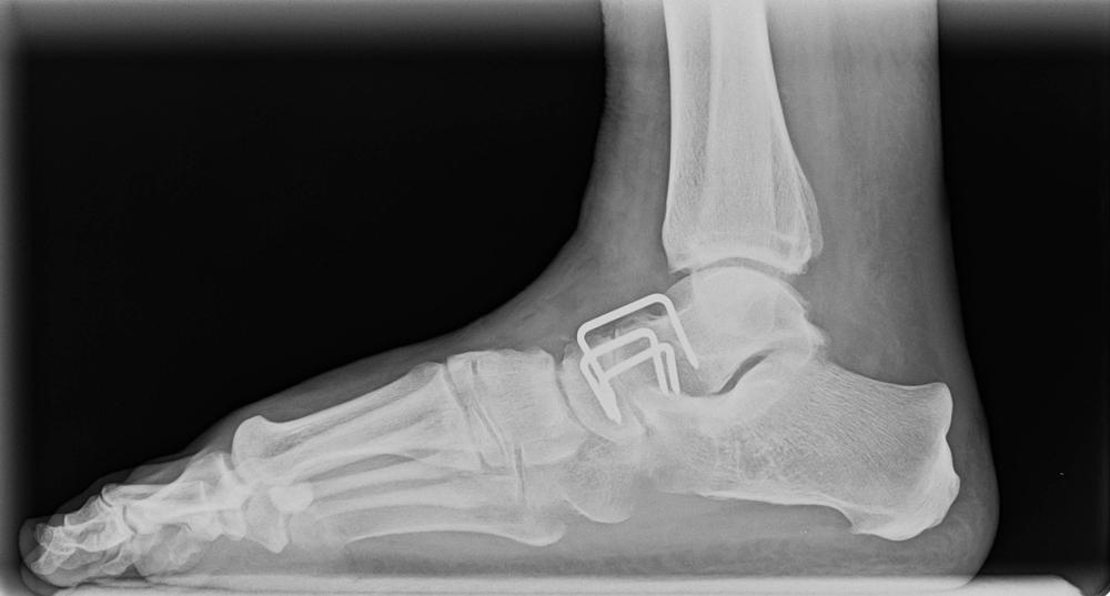
Umumnya, prosedur ini paling sering dilakukan untuk pergelangan kaki (ankle), kaki (foot), atau tulang belakang (spinal). Jika prosedur ini berhasil, persendian yang terdampak memang tidak bisa bergerak kembali, tetapi tulang yang menyatu pada persendian tidak akan terasa sakit.

Selain itu, pasien yang menjalani prosedur ini bisa menyangga beban tubuh lebih berat tanpa harus merasa sakit. Bahkan, fungsi dari sistem geraknya pun akan bekerja dengan lebih baik daripada sebelum menjalani prosedur.

Namun, Anda juga perlu mewaspadai risiko yang mungkin terjadi dari arthrodesis. Oleh sebab itu, ikuti semua petunjuk dan saran dokter mengenai kondisi yang Anda alami serta tata laksana dari operasi untuk tulang ini.

Siapa yang butuh menjalani prosedur ini?

Arthrodesis menjadi salah satu prosedur medis untuk mengatasi berbagai gangguan muskuloskeletal. Namun, bukan berarti prosedur ini dapat mengatasi semua kondisi atau masalah kesehatan yang berkaitan dengan sistem gerak.

Ada beberapa kondisi yang bisa diatasi dengan menjalani arthrodesis, seperti:

Nah, seperti yang telah disebutkan sebelumnya, prosedur ini memang paling umum dilakukan untuk mengatasi masalah persendian pada kaki, pergelangan kaki, tulang belakang, dan juga tangan. Biasanya, masalah persendian terjadi karena arthritis atau radang sendi akibat cedera yang cukup parah.

Dahulu, prosedur arthrodesis ini juga sering dokter lakukan untuk masalah persendian pinggul dan lutut. Akan tetapi, seiring dengan perkembangan teknologi dan inovasi yang semakin maju, prosedur ini mulai tergantikan dengan prosedur operasi untuk pemasangan sendi lutut dan pinggul palsu.

Akan tetapi, tidak semua orang yang mengalami kondisi serupa akan dokter sarankan untuk menjalani arthrodesis. Pasalnya, dokter baru akan menyarankan prosedur ini jika rasa sakit mulai mengganggu aktivitas sehari-hari.

Selain itu, pengobatan lain sudah tak mempan untuk mengatasi rasa sakit dari kondisi tersebut. Namun, dokter tentu akan mendiskusikan terlebih dahulu dengan Anda mengenai pilihan pengobatan ini.

Bahkan, dokter akan memberi tahu terlebih dahulu apa saja manfaat yang bisa Anda dapatkan beserta dengan faktor risiko yang mungkin terjadi setelah menjalani arthrodesis.

Persiapan sebelum menjalani arthrodesis

Sebelum menjalani prosedur arthrodesis, dokter atau tim medis akan mengatur pertemuan dengan Anda terlebih dahulu. Dalam pertemuan ini, dokter dan tim medis akan mendiskusikan beberapa hal berkaitan dengan prosedur seperti di bawah ini.

  • Anestesi yang akan diberikan oleh dokter.
  • Ada atau tidaknya alergi yang Anda miliki.
  • Obat-obatan yang Anda gunakan, termasuk obat herbal dan suplemen.
  • Berpuasa sebelum prosedur operasi berlangsung, termasuk menghindari makanan dan minuman tertentu pada tengah malam sebelum hari operasi.
  • Ada atau tidaknya pendamping yang menemani Anda selama menjalani operasi, termasuk yang mengantar dan menjemput ke rumah sakit.

Jika Anda seorang perokok, ada baiknya untuk berhenti merokok sebelum operasi. Pasalnya, kebiasaan tak sehat ini dapat menghambat proses pemulihan setelah operasi.

Selain itu, tepat sebelum operasi, Anda mungkin akan menjalani beberapa tes pencitraan, termasuk CT scan, ultrasound, X-ray, dan magnetic resonance imaging (MRI).

https://hellosehat.com/sehat/tes-kesehatan/apa-itu-pemeriksaan-mri/

Prosedur pelaksanaan arthrodesis

Sebenarnya, setiap prosedur pelaksanaan dari arthrodesis tak selalu sama. Metode yang dokter gunakan sebagai prosedur pelaksanaannya tergantung pada beberapa faktor seperti di bawah ini.

  • Kesehatan tubuh Anda secara menyeluruh.
  • Opini dari ahli bedah ortopedi mengenai metode terbaik untuk kondisi Anda.
  • Kondisi dari persendian yang terdampak.

Secara umum, prosedur pelaksanaan untuk arthrodesis kurang lebih seperti cangkok tulang. Terdapat dua jenis cangkok tulang yang dapat dipilih sesuai dengan kondisi medis yang Anda alami.

Pertama, jaringan tulang yang digunakan untuk cangkok adalah jaringan dari tulang bagian tubuh  pasien tersebut. Jenis kedua menggunakan jaringan tulang yang didapatkan dari donor atau dari tubuh pasien lainnya.

Pada pelaksanaannya, dokter bedah akan membuat sayatan pada kulit pasien di area tulang yang terdampak. Lalu, sebuah alat pipih bernama arthroscope akan dokter masukkan ke dalam tubuh melalui satu sayatan.

Sebuah kamera melekat pada arthroscope agar dokter bisa melihat dengan jelas bagian dalam tubuh tersebut. Dokter bedah akan mengangkat tulang lunak yang masih tersisa pada persendian yang mengalami kerusakan.

Kemudian, dokter akan menghubungkan dua tulang pada posisi yang tepat menggunakan peralatan operasi sesuai kebutuhan. Dokter juga akan memperbaiki bagian tulang dan persendian yang terdampak jika perlu.

Baru setelah prosedur operasi arthrodesis ini selesai, tim medis yang membantu dokter akan menjahit kembali bagian tubuh yang sebelumnya mendapat sayatan.

Setelah menjalani prosedur arthrodesis

Jika prosedur operasi arthrodesis selesai dijalani, kini saatnya memasuki masa pemulihan. Nah, masing-masing pasien memiliki masa pemulihan yang berbeda-beda.

Sejumlah pasien hanya membutuhkan waktu beberapa minggu hingga pulih, tetapi ada pula yang membutuhkan waktu 12 bulan lamanya untuk pulih. Lama waktu pemulihan ini sangat tergantung pada kondisi Anda.

Setelah dua tulang berhasil menyatu, area tersebut biasanya tak bisa lagi bergerak leluasa seperti dahulu, bahkan terkadang dapat menimbulkan rasa sakit. Jika demikian, mungkin Anda perlu melakukan operasi tambahan atau menjalani cangkok tulang agar segera pulih.

Pergerakan tulang sendi yang tak lagi bebas ini tak bisa diatasi dan menjadi kondisi permanen. Itu sebabnya, arthrodesis biasanya menjadi alternatif pengobatan paling akhir dari dokter.

Komplikasi dari menjalani prosedur ini

Berikut adalah beberapa risiko yang mungkin terjadi setelah menjadi arthrodesis:

  • Prosedur operasi gagal mengatasi kondisi Anda
  • Infeksi
  • Kerusakan saraf di sekitar area yang menerima prosedur operasi
  • Penggumpalan darah
  • Tulang tak menyatu dengan benar
  • Pergeseran tulang
  • Terjadinya arthritis pada persendian

Namun, menurut John Hopkins Medicine, komplikasi atau risiko antara satu pasien dengan pasien lainnya tentu berbeda dan tergantung pada banyak faktor. Hal ini termasuk kondisi kesehatan secara menyeluruh, usia, dan tipe dari prosedur pelaksanaan operasi yang dokter lakukan untuk mengatasi kondisi Anda.

Jika Anda seorang perokok atau memiliki tingkat kepadatan tulang yang rendah, risiko mengalami komplikasi mungkin lebih besar. Anda yang memiliki diabetes juga memiliki potensi yang lebih besar mengalami risiko dari prosedur ini.

Oleh sebab itu, ada baiknya untuk selalu berkomunikasi dan berdiskusi dengan dokter mengenai alternatif pengobatan lainnya.

Catatan

Hello Sehat tidak menyediakan saran medis, diagnosis, atau perawatan. Selalu konsultasikan dengan ahli kesehatan profesional untuk mendapatkan jawaban dan penanganan masalah kesehatan Anda.

Lumbar Spinal Fusion. Retrieved 15 June 2021, from https://healthy.kaiserpermanente.org/health-wellness/health-encyclopedia/he.lumbar-spinal-fusion-arthrodesis.hw56072

Spinal Fusion. Retrieved 15 June 2021, from https://orthoinfo.aaos.org/en/treatment/spinal-fusion/

Essential Facts about The Risks and Benefits of Arthrodesis. Retrieved 15 June 2021, from https://www.navicenthealth.org/service-center/orthopaedic-trauma-institute/arthrodesis#

Ankle Fusion. Retrieved 15 June 2021, from https://www.hopkinsmedicine.org/health/treatment-tests-and-therapies/ankle-fusion

 

Versi Terbaru

09/09/2021

Ditulis oleh Annisa Hapsari

Ditinjau secara medis oleh dr. Tania Savitri

Diperbarui oleh: Nanda Saputri


Artikel Terkait

Kaki Sakit setelah Lari? Ini Cara Tepat Mengatasinya

Operasi Tulang Belakang: Kondisi yang Membutuhkan, Prosedur Hingga Risikonya


Ditinjau secara medis oleh

dr. Tania Savitri

General Practitioner · Integrated Therapeutic


Ditulis oleh Annisa Hapsari · Tanggal diperbarui 09/09/2021

ad iconIklan

Apakah artikel ini membantu?